Por Jesús Casla
Terapeuta de BioNeuroEmoción –
Descodificación Biológica
& Hipnosis Clínica Reparadora
Junto con las cefaleas, el dolor en la zona cervical es uno de los malestares más comunes y habituales en nuestras vidas. El dolor de cervicales hace alusión a cualquier estructura del cuello, ya sea muscular, nerviosa, de las vértebras o de los discos intervertebrales implicados. En general, el anormal funcionamiento de cualquier de esas estructuras provoca rigidez e incluso entumecimiento y hormigueo o debilidad en brazos y manos si existe compresión de los nervios.
La medicina clásica occidental achaca la aparición de problemas y dolores en la zona cervical a la tensión muscular provocada por actividades diarias y habituales como posturas laborales incorrectas mantenidas durante mucho tiempo o la adopción de malas posiciones durante las horas de sueño. También se derivan responsabilidades sobre el dolor cervical en algunas afecciones como la fibromialgia, las infecciones de la columna (osteomielitis, principalmente) o la tortícolis. Sin embargo, esas conclusiones nunca son del todo satisfactorias porque no afrontan el problema desde su origen ni llegan a explicar por qué unas personas son más propensas que otras a padecer dolores en al zona cervical cuando, por ejemplo, pasan las mismas horas en la misma postura frente a una computadora, etc.
Dolor cervical, inflexibilidad y desacuerdo entre lo que pienso y lo que hago
Cuando se analiza cualquier síntoma o enfermedad desde la BioNeuroEmoción o BioDescodificación , lo importante no es la manifestación última y tangible del problema sino el conflicto emocional no resuelto que hace que nuestra biología se ponga en marcha y nos avise a través del síntoma de que algo no va bien, de que debemos tomar conciencia del problema y pasar a la acción para llevar a cabo los cambios necesarios.
Es importante, por tanto, comprender el sentido biológico de cada síntoma para tomar conciencia de la naturaleza del conflicto latente que se manifiesta. El cuello es el punto de unión, la vía de comunicación, entre cuerpo y cabeza. Esto explica que los dolores y malestares que surgen en la zona cervical están relacionados con conflictos de comunicación o de desvalorización intelectual. Por ejemplo, vivir situaciones con un sentimiento de injusticia o de impotencia y no tener más opción que acabar doblando -literalmente- la cabeza. Además, el cuello simboliza nuestra flexibilidad y capacidad para considerar e integrar los varios aspectos y opciones que normalmente nos pone delante la vida, la flexibilidad en nuestra manera de pensar o de aceptar y respetar las opiniones ajenas. Los problemas de cuello y, más concretamente, de cervicales manifiestan que nos cerramos a considerar opciones y puntos de vista distintos al nuestro por temor a perder o disminuir el control.
El dolor cervical evidencia también conflictos de sentir falta de apoyo emocional o de no ser amado/a. La espalda, en general, representa biológicamente el soporte de la vida. Por eso, cuando no nos sentimos protegidos y respaldados –afectiva y/o físicamente- pueden surgir problemas en esa parte de nuestro cuerpo. Si nos centramos en la región cervical, debemos añadir a esa falta de protección y respaldo un sentimiento de incapacidad para expresar las emociones bloqueadas que permanecen silenciadas -contra nuestra voluntad- en nuestro interior. Muchas veces son bloqueos inconscientes. Como puente de unión entre cabeza y cuerpo, el dolor y malestar cervical pone de manifiesto que la persona vive una contradicción entre lo que piensa y lo que hace; piensa una cosa y acaba haciendo otra distinta.
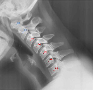
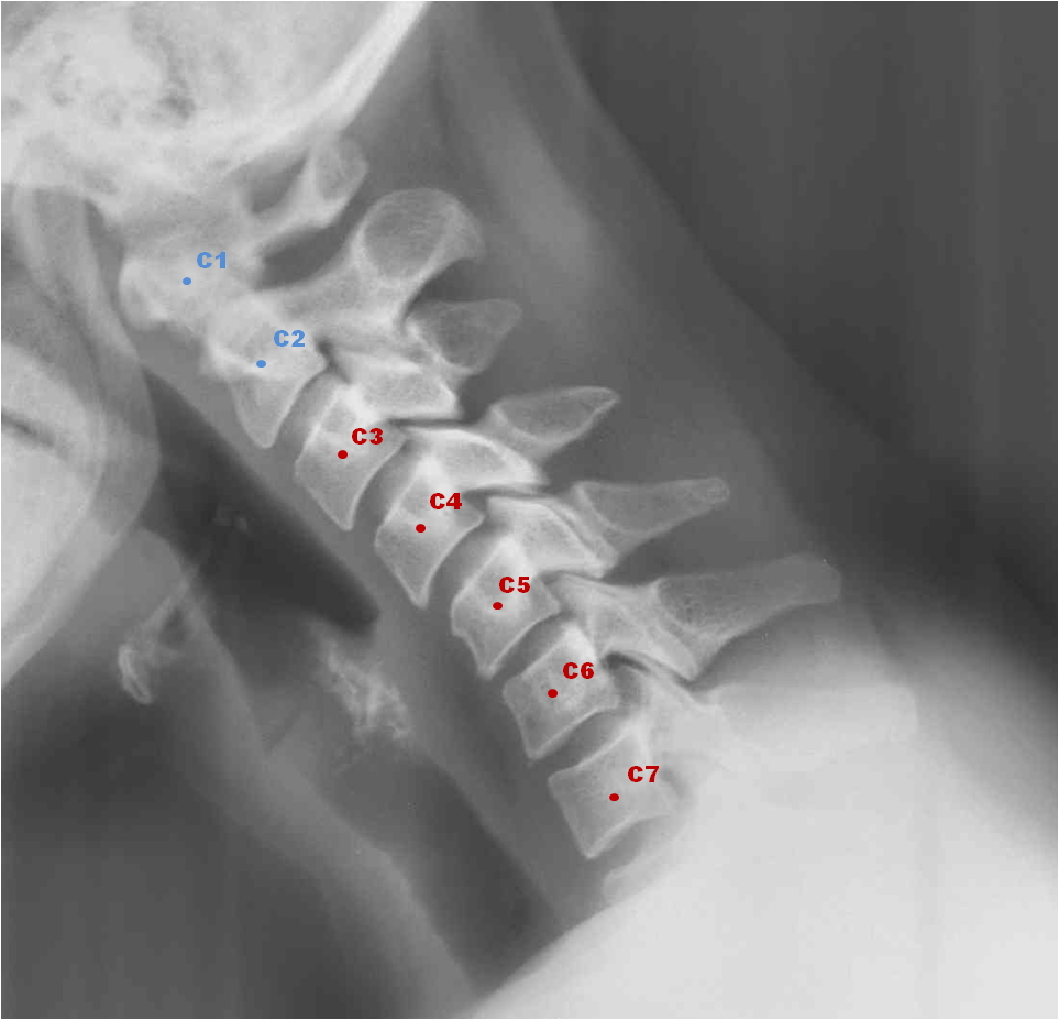
A partir de estas apreciaciones generales sobre el sentido y significado del dolor cervical, es necesario entrar en detalles más precisos porque cada una de las siete vértebras cervicales tiene un simbolismo propio y, por tanto, manifiesta conflictos diferentes.
Los problemas en las vértebras C1, C2, y C3 guardan especial relación con situaciones de desvalorización intelectual.

C1 o Atlas: Relacionada con la lengua y el cerebro. Sirve de soporte a la cabeza, la mantiene en equilibrio. Cuando vivimos las situaciones de la vida con estrechez mental o rigidez, esta vértebra reacciona perdiendo sus funciones. Se paralizará por el miedo, la negatividad y la desesperación, provocando habitualmente la aparición de dolores de cabeza y problemas que afectan al sistema nervioso.
C2 o Axis: Conectada con los órganos de los sentidos (ojos, nariz, orejas, boca – lengua). Si me aferro a mis viejas creencias y me preocupo constantemente y de forma excesiva por el futuro, esta vértebra reaccionará entrando en rigidez. Se perderá lubricación y surgirán irritación, calentamiento y dolor.
C3: Relacionada con la laringe. Cuando tenemos problemas en C3, nos volvemos irritables con respecto a una persona o una situación. También está relacionada con las mejillas, la cara y el oído exterior. Está vinculada también con los problemas de desvalorización, de contacto y de estética, como acné, granos y eccemas. Problemas en esta vértebra pueden dar lugar a daños en el rostro, así como en las orejas y los dientes.
Las vértebras C4, C5, C6 están en relación con la tiroides y, a través de ella, afectan al lenguaje y la voz, es decir, la comunicación que expreso y la que recibo. Pueden ser situaciones en las que no me permito expresar mis opiniones o cuando escucho palabras y mensajes que me causan ira e indignación. Estas situaciones pueden incrementar nuestra agresividad, por lo que se cerrarán nuestros canales de comunicación. Nos cuesta “digerir” lo que escuchamos o tendemos a darle muchas vueltas a lo que hemos escuchado o a lo que nos gustaría expresar y no expresamos. En estos casos, frecuentemente aparecen dolencias que afectan a todo el sistema de comunicación: boca, lengua y cuerdas vocales, pudiendo llegar a afectar, de manera generalizada, a todo lo que se localiza entre la boca y los hombros.
C4: Vinculada a la nariz y la boca. Se refiere a la comunicación verbal, al concepto real y concreto de las cosas. Las palabras de los acontecimientos del día a día. Muy habitual en problemas de comunicación en el trabajo.
C5: Relacionada con la faringe y las cuerdas vocales. Conflictos que se viven como injusticia.
C6: Hace referencia a las amígdalas y al cuello de forma genérica. Expresa conflictos vividos como injustos y con desvalorización.
C7: Esta última vértebra cervical guarda una especial vinculación con la tiroides, las manos, los codos, los brazos y los hombros. Cuando C7 está afectada es porque estamos o hemos estado ante conflictos de injusticia y/o de sumisión, de doblegarnos contra nuestra voluntad. Aquí entran en juego nuestros principios y valores morales, así como nuestras creencias, que harán que vivamos de manera más o menos acusada esa “cesión” forzada. Cuando somos presa de emociones intensas en la vida o tenemos miedo de ser rechazados, la vértebra C7 nos avisará.

